ニュース
チョコザップでCT検査を受けてきた 会員なら無料でMRI/CT検査
2025年9月5日 09:00
chocoZAP(チョコザップ)でMRI検査/CT検査/エコー検査を受けられることをご存知でしょうか。24年5月に始まったchocoZAPメディカルの「Mini人間ドック[MRI・CT・エコー]」というサービスで、新宿にあるchocoZAPの提携医療機関で受けられます。
chocoZAP会員であれば年に1回、追加料金なしで検査ができるのが大きな特徴。実際にchocoZAPメディカルでCT検査を体験したので、その様子をレポートします。
Mini人間ドックで受けられるのは、MRI(頭部)、CT(胸部または腹部)、エコー(乳腺または腹部)、いずれか最大年1回まで受検でき、サイトから予約を行ないます。追加で検査したい場合は、1回につき5,000円で利用することも可能です。検査は最短15分程度で完了し、結果は後日電子データのレポートで受け取れます。
脳梗塞の疑いが見つかる人も
chocoZAPメディカルの事業発足の背景として、日本の予防医療の普及率の低さが挙げられています。従来、CTやMRIなどの画像診断は、検査費約2~4万円と高いことや、健康診断の必須項目ではないといった理由から普及率が低いそうです。
ですが、自覚症状がない人でもMRIやCT検査を受けると、病気や異変が見つかるといった事例は少なくないとのこと。chocoZAPが目指す「健康の社会インフラ化」を実現するために、予防医療の普及を目的としてchocoZAPメディカルを発足しました。
サービス開始から1年が経ち、受検者は計21,518人に及んでいます。利用者調査では、受検者の約7割がMRIやCTといった画像診断を初めて受け、受診の理由には「chocoZAP会費内で受けられるから」といった回答が最も多く、80.4%という結果になりました。
そのなかで約5人に1人が「何らかの所見あり」と診断され、中には頭部MRI検査で脳梗塞の疑いが見つかり、他院で精密検査をしたところ未破裂の脳動脈瘤が見つかり手術をした人や、エコー検査で脾臓の腫瘍・胆石が見つかった人などもいるとchocoZAPメディカルでは発表しています。
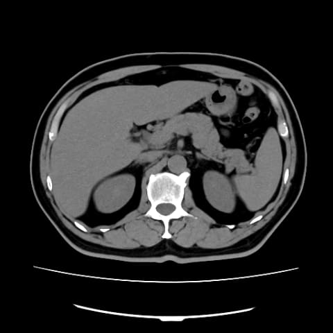
CT検査を体験した
実際にchocoZAPメディカルでCT検査を体験してみました。chocoZAPメディカルは新宿三丁目のchocoZAPに併設されており、検査前後でchocoZAPでトレーニングすることも可能です。
chocoZAPメディカルに到着したら、予約時に発行されたQRコードを受付でかざし、受付番号で呼ばれたら検査室に入ります。受付は無人で、検査時のみスタッフと会話をするだけで人との接触は少ないようになっていました。
提携の医療機関は、chocoZAPメディカル以外にも一般の病院からの検査も対応しているため、chocoZAPメディカル以外で予約した人の来院もあります。
ちなみに筆者は腹部CT検査だったので検査前6時間の絶食が必要となり、予約が13時だったので朝食を7時までに済ませていました。朝起きるのが苦手、しっかり食べてから行きたい場合は午後遅めの時間で予約したほうが良さそうです。なおMRIと胸部CTは検査前の食事制限はありません。
また、chocoZAPは着替え不要で使えることが特徴ですが、chocoZAPメディカルも同様に着替え不要で検査を受けられます。その場合は金属製のファスナーやひも、下着などを着用していないことが必須条件となります。
番号で呼ばれたら荷物をロッカーに預け検査室に入ります。スタッフの指示に従い、検査台に横になったら指示に従って呼吸をし、5分ほどで検査が完了しました。CTは5~10分、頭部MRIは15分ほどで終わるそうです。
あっという間に終わってしまいあっけないくらいでした。せっかくなので隣のchocoZAPで何かしらのマシンを体験してから帰ろうかなと思うほどです。
結果は約3週間ほどでメールで送られてくるとのことなので、最初は結果が気になると思いますが忘れた頃に届きそうです。
筆者は過去に大学病院でMRIやCT検査を受けたことがあり、検査の流れはchocoZAPも大学病院も変わりませんが、chocoZAPメディカルのほうが圧倒的に待ち時間が短く手軽でした。今まで受けたことない人にはハードルが低く、自分の身体のことを知れる画期的なサービスだと感じました。
検査できる医療機関は現在新宿の1カ所のみですが、今後拡大を検討しているようなので、全国で広がっていくことを期待したいと思います。














